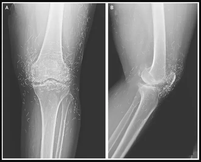
Doctors examining X-rays of a 65-year-old South Korean woman with severe knee pain made a startling discovery: hundreds of tiny gold acupuncture needles embedded in her tissue.
The woman had osteoarthritis, a condition that damages cartilage and bone, causing pain and stiffness. Standard pain relievers and anti-inflammatory drugs offered little relief and caused stomach problems, so she turned to acupuncture. In her case, doctors reported in the New England Journal of Medicine, the needles—presumably gold—were deliberately left in her knees for ongoing stimulation.
Acupuncture, an alternative therapy, uses thin needles inserted at specific points to treat pain and other ailments. In some Asian countries, leaving gold threads or needles around joints is a common arthritis treatment. But experts warn this practice carries risks. Dr. Ali Guermazi, a radiology professor at Boston University, explained that foreign objects can trigger inflammation, abscesses, or infection. They may also interfere with imaging: “The needles may obscure some of the anatomy,” he noted.

Another concern is safety during scans. Patients with embedded needles cannot undergo MRI exams, as the metal could shift and damage blood vessels. “The human body wants to get rid of the foreign object,” Guermazi said, noting the immune system walls it off with fibrous tissue.
Despite limited evidence supporting acupuncture’s effectiveness, it remains widely practiced. In the U.S. alone, an estimated 3.1 million adults and 150,000 children used acupuncture in 2007.